Koronahosszabbító műtét akkor lehet szükséges, ha egy fogászati beavatkozás (kompozit tömés, inlay tömés, betét / onlay, fogkorona, fogpótlás híddal) tervezésekor a klinikai vizsgálat során azt tapasztaljuk, hogy a fog íny alatt nagymértékben elszuvasodott. Ilyenkor koronahosszabbító műtét nélkül sokszor nem lehetséges pontos fogpótlás készítése, illetve ha ez sikerül is, a csont közelsége miatt számítanunk kell fogínysorvadás, csontpusztulás kialakulására. Ez a gyulladásos elváltozás azért alakul ki, mert a fogpótlás és a csont szintje között nincs meg a minimálisan szükséges körülbelül 3 mm-es távolság, ami a szövetek gyulladásmentes állapotához elengedhetetlen.
Indokolt tehát szükség esetén a végleges fogmű elkészítését megelőzően elvégezni a koronahosszabbító műtétet. Ezzel a szájsebészeti beavatkozással meghosszabbítjuk a fog klinikai koronáját, megnöveljük a távolságot a fogpótlás széle és a csont szintje között. Amennyiben a csontnívó módosítására is szükség van sebészi motor használatára is szükség van.
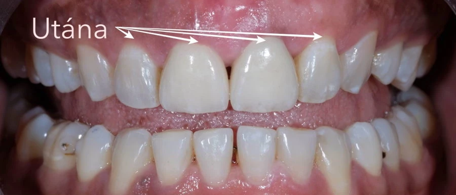
Koronahosszabbító műtétre lehet szükség azokban az esetekben is, ha a páciens nevetéskor túlzott arányban mutatja az ínyét (ínymosoly).
Helyi érzéstelenítésben az íny félrehajtása mellett csökkentjük a csont/íny mennyiségét az érintett területen. Ezt követően a területet összevarrjuk. A korona-hosszabbító műtét után, gyógyulást követően az íny visszahúzódik, emiatt a fogunk nagyobb része kerül az íny szintje fölé mint kiinduláskor.
A beavatkozást a higiéniai elemek maradéktalan betartása mellett steril eszközökkel végezzük. Koronahosszabbító műtét altatásban is végezhető
A koronahosszabbítás ár szempontjából több tényezőtől függ. A műtét árát leginkább a beavatkozás kiterjedése, a műtéti terület nagysága határozza meg. A koronahosszabbítás árak az oldal alján találhatóak, vagy a fogászati árak oldalon olvashatók.
Amennyiben koronahosszabbítás az egyetlen lehetséges megoldás fogának hosszú távú megmentésére, keresse rendelőnket a +36 1 690 1304-es telefonszámon!
Mindenképp szükségem van koronahosszabbító műtét beavatkozásra?
Általában nagyon mély szuvasodás miatt van szükség koronahosszabbító műtét elvégzésére. Célja, hogy a készítendő fogpótlás széle ne legyen túlságosan közel a fogágyhoz, ezáltal gyulladásmentes állapotban tartható legyen a jövőben. Koronahosszabbítás nélkül ezekre a fogakra már nem készíthető korrekt széli záródású pótlás.
Esztétikai okokból végezhető koronahosszabbító műtét?
A frontfogaink esztétikája ínymosollyal rendelkező pácienseink esetében csak akkor javítható, ha koronahosszabbítás segítségével feljebb pozícionáljuk a lágyrészeket, az ínyt, ezáltal növelve meg a fogak klinikai koronájának hosszát. Ezzel a módszerrel akár még az asszimetrikus ínykontúr is javítható
Mennyire fájdalmas a koronahosszabbító műtét?
Általában kis ambuláns beavatkozásról beszélünk, amely mindig helyi érzéstelenítésben történik, ezáltal a műtét nem jár semmilyen fájdalommal. A beavatkozás utáni utó panaszok legtöbbször elhanyagolhatóak.

