A foghiány nem csak esztétikai, de komoly egészségügyi problémákat is okozhat. Hiányzó fogainkról hajlamosak vagyunk azt hinni, hogy az csak egy esztétikai kérdés. Hátsó fogak esetében pedig nem is zavaró a dolog, hiszen senki sem látja. A probléma ennél azonban sokkal összetettebb, hiszen fogaink természetes anatómiai felépítése arra épül, hogy minden felső vagy alsó foggal szemben egy másik fog helyezkedik el, így lesz a rágási funkció kiegyensúlyozott.
Az okklúziós (harapási) problémák – amennyiben hosszabb ideig fennállnak – állkapocs ízületi panasz kialakulásához vezethetnek. A következő tünetek jelentkezhetnek:
Az is lehet, hogy az Ön alvászavarainak hátterében is a hiányzó fogak problémája áll:
Javasolt tehát a lehető legrövidebb időn belül pótolni a hiányzó fogakat, hogy elkerüljük az esetleges káros következményeket és szövődményeket.
Az alábbiakban prioritás szerint összefoglaljuk, hogy a különböző típusú foghiányok esetén milyen megoldások léteznek amennyiben hiányzó fog pótlása válik aktuálisá az Ön számára.
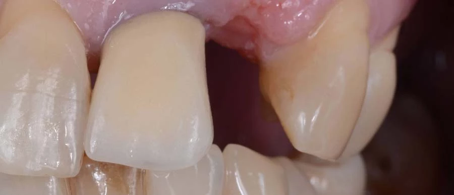
Szóló foghiányról akkor beszélünk, amikor Önnek akár a front, akár a hátsó régióban egy-egy foga hiányzik, a szomszédos fogak pedig megtartottak.
Első számú javasolt megoldás: Amennyiben az érintett terület csontjának minősége és mennyisége alkalmas a beültetésre, akkor az elsőként választandó megoldás a fog implantátum. Ezzel az egyszerű rutin műtéttel rövid idő alatt pótolható a hiányzó fog a szomszédos fogak károsítása nélkül.
Szükséges esetben a beültetést csontpótló beavatkozás előzheti meg, amennyiben a csontkínálat nem megfelelő. A csontszövet mennyisége 3d fogászati röntgen segítségével ellenőrizhető. A beültetett implantátumra végleges fogpótlásként fogkorona készül, ami minden esztétikai elvárást kielégítve természetes módon illeszkedik majd meglévő fogaihoz.
Második számú javasolt megoldás: Amennyiben a fogászati implantáció valamilyen oknál fogva nem kivitelezhető, és a hiányzó fog nem sorvégi, vagyis előtte is mögötte is van saját fogunk, megoldás lehet a foghíd készítése. A fogászati híd anyagtani szempontból lehet fémkerámia vagy fémmentes.
Harmadik számú javasolt megoldás: Foghiány esetén szintén megoldást jelenthetnek a kivehető fogsor, bár ezt a foghiány csekély volta miatt ezekben az esetekben nem javasoljuk.
A foghiányok típusai közül akkor beszélünk erről, amikor egymás mellett több fog is hiányzik.
Első számú javasolt megoldás: Amennyiben az érintett terület alkalmas a beültetésre, akkor az elsőként választandó megoldás a fogbeültetés. Ezzel az egyszerű rutin beavatkozással rövid idő alatt pótolhatóak a hiányzó fogak a szomszédos fogak károsítása nélkül. Szükséges lehet csontpótlás a beavatkozás előtt, amennyiben nem megfelelő a meglévő csont mennyisége.
A beültetendő műgyökerek száma változó, függően attól, hogy mekkora a foghiány. Két hiányzó fog esetén két implantátum beültetése szükséges, viszont 3 fogat érintő egymás melletti foghiány már 2 beültetett műgyökérrel is orvosolható. A beültetett implantátumokra végleges fogpótlásként korona vagy hídpótlás készül, ami minden esztétikai elvárást kielégítve állítja vissza rágóképességét.
Második számú javasolt megoldás: Amennyiben a beültetés valamilyen oknál fogva nem kivitelezhető, és a hiányzó fogak nem sorvégiek, vagyis a hiány előtt is mögött is van saját fogunk, megoldás lehet a hídpótlás készítése. A fogászati híd anyagtani szempontból lehet fémkerámia vagy fémmentes. Ehhez szükséges azonban, hogy a terhet viselő fogak(pillérek) megfelelő stabilitással rendelkezzenek. Amikor a foghiány nagyon nagy mértékű, ez a megoldás nem javasolt.
Harmadik számú javasolt megoldás: Szintén megoldást jelenthetnek több fog együttes hiánya esetén a kivehető fogpótlások, bár ezek kényelmi szempontból alul maradnak az első két megoldással szemben.
Teljes foghiányról akkor beszélünk, amikor egy van két állcsonton nincs egyetlen megtartott fog sem.
Első számú javasolt megoldás: Amennyiben az érintett terület alkalmas a beültetésre, akkor az elsőként választandó megoldás az implantáció. A fogbeültetéssel rövid idő alatt pótolhatóak a hiányzó fogak. Meglévő csontmennyiség függvényében csontpótlás, arcüreg emelés (sinus lift) előzheti meg a beültetést.
A beültetendő implantátumok száma változó, függően attól, hogy milyen fogpótlás elkészítését tervezzük. Kisebb számú implantátum beültetésekor, (általában 4 darab állcsontonként) implantátumokon rögzülő fix fogsor készül. Ha 6-nál több implantátumot ültetünk be, rögzített foghíd készíthető, ami kompromisszumok nélküli megoldást jelent, hiszen olyan érzése lesz, mintha visszakapta volna saját fogait.
Második számú javasolt megoldás: Megoldást jelenthet a foghiányok pótlása esetén a kivehető protézis implantátumokon való rögzítés nélkül is. Ilyenkor a funkció és esztétikai megjelenést úgy állítjuk helyre, hogy a rágóerőt nem beültetett műgyökerek viselik, hanem a szájüreg nyálkahártyával fedett csontos képletei. Ennek a megoldásnak az az előnye, hogy gyorsan kivitelezhető, de stabilitása elmarad az implantációs pótlásokétól. Elkészítése során prémium fogakat alkalmazunk.
Amennyiben szeretné elkerülni a foghiány következményeként fellépő tünetek megjelenését és a további maradandó károsodások kialakulását, kérjük jelentkezzen be egy fogászati konzultációra a +36 1 690 1304-es telefonszám felhívásával, hogy megismerhesse csapatunkat és az ön esetében leginkább megfelelő megoldási javaslatunkat! A konzultáció során egy írásos fogászati árajánlat készül garanciával, amiben minden kérdésére választ kap. A különböző fogpótlás típusok árait a fogászati árak oldalunkon találja.
Meddig várhatok a foghiány pótlásával?
A kihúzott fog következtében létrejött foghiány kezelését nem szabad túl sokáig halogatni, hiszen egyetlen fog elvesztésévek is megbomlik a fogazat egyensúlya. Bedölhentek a foghiány melletti fogak, és kinőhetnek a helyükről a szemközti fogak, ami elkerülhető lenne a kihúzott fog pótlásával.
Ha nincs fogam készülhet híd a számba?
Fogatlanság esetén, megfelelő számú beültetett implantátummal van lehetőség híd pótlást készíteni.


